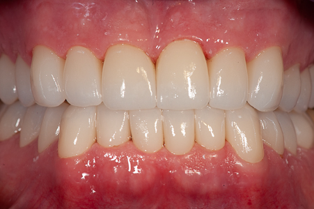
Nos hemos especializado en circonio macizo de contorno completo y conseguimos una estética natural muy superior comparado con la mayoría de los trabajos realizado en metal-cerámica. Tenemos la óptima solución para fundas individuales y puentes de 3 hasta 6 segmentos, sobre muñones naturales e implantes.